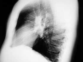
Atrophie du [tissu->mot1595] osseux, constatée au cours d’un examen radiologique particulièrement après la [ménopause-> mot2532], et de plus en plus fréquemment au cours de l’[infection-> mot1531] à [VIH->mot445]. Cette affection de l’os est caractérisée par un amincissement et une raréfaction des travées osseuses. L’os se trouve fragilisé, il apparaît moins opaque à la radio. Au cours du temps, l’ostéoporose peut provoquer un nombre plus élevé de fractures.

30 12, 2011

en bref

Par |2023-11-24T16:12:51+01:00vendredi 30 décembre 2011|Catégories : Archives|Mots-clés : , , , , , , , , , , , , , , , , , , , , , , , , , , , , |

loi sur la sécurité du médicament Après des discussions au Parlement plus longues que prévu, la loi sur la sécurité du médicament, dont nous décrivions en détail le passage à l'Assemblée nationale en première lecture, a été adoptée. Le TRT-5 a réussi à conserver un système souple des Autorisations Temporaires d'Utilisation (ATU), ce dispositif vital qui [...]

01 09, 2011

les lois, celles et ceux qui les font, et nous

Par |2023-11-24T16:12:59+01:00jeudi 1 septembre 2011|Catégories : Archives|Mots-clés : , , , , , , , , , , , , , , , , |

Les décrets, amendements et autres lois, discutées plus ou moins obscurément au Parlement, ont souvent des impacts décisifs sur nos vies. Tandis que le Sénat s’apprête à se renouveler (et potentiellement à basculer à gauche) et que les législatives approchent, retour sur quelques dossiers en cours et sur leurs conséquences en termes de lutte contre le sida. 

01 04, 2005

L’ostéodensitométrie en travers…

Par |2023-11-24T16:16:05+01:00vendredi 1 avril 2005|Catégories : Archives|Mots-clés : , , , , , , |

En janvier 2000, une enquête menée par les militantEs d'Act Up-Paris auprès des principaux hôpitaux de Paris avait révélé une prévalence des troubles de la masse osseuse supérieure chez les séropositifVEs. Depuis, nous ne cessons d'exiger le remboursement de l'ostéodensitométrie. Dans ce combat, un nouvel ennemi vient de faire son entrée, le docteur Denis-Jean David.

13 11, 2003

Prise en charge extra-VIH : quel parcours pour les séropos à l’hôpital ?

Par |2023-11-24T16:16:45+01:00jeudi 13 novembre 2003|Catégories : Archives|Mots-clés : , , , , , , , |

A l'occasion de la sortie du numéro hors-série de notre revue Protocoles, Act Up-Toulouse, Act Up-Lyon et Act Up-Paris vous invitent à trois Réunions publiques d'information (RéPI) autour du thème : Prise en charge extra-VIH : quel parcours pour les séropos à l'hôpital ?.

31 10, 2001

Edito

Par |2023-11-24T16:17:48+01:00mercredi 31 octobre 2001|Catégories : Archives|Mots-clés : , , , , , , , , , , , , , , , , , , , , , , , |

Après les chiffres internationaux qui annoncent une augmentation de la contamination du VIH dans les pays occidentaux due au relapse, après les chiffres attestant de l'explosion des cas de gonorrhées, voici que depuis plusieurs mois, les médecins et les centres de dépistage notent une nette recrudescence de la syphilis en France comme dans les pays voisins. [...]

Aller en haut